کامپوزیت دندان خرگوشی؛ تضمین زیبایی دهان و دندان!
امروزه زیبایی دهان و دندان یکی از معیارهای اصلی صورت زیبا محسوب میشود. طبیعی است که افرادی با دندانهای روبه جلو تمایل داشته باشند دندانهای خود را درست کرده و شکلی منظم به آن بدهند. دندانهای یکدست، صاف و بدون انحراف، اعتمادبهنفس را افزایش داده و لبخند را زیباتر میکنند. همچنین مشکلات مختلف دهان و دندان را از بین میبرند. خوشبختانه در حوزه دندانپزشکی مدرن راهحلهای مختلفی برای زیبایی و اصلاح دندانهای خرگوشی وجود دارد. یکی از راههای اساسی برای زیبایی و سلامت دندان خرگوشی، کامپوزیت دندان خرگوشی است.
در این مقاله قصد داریم شما را با کامپوزیت دندانهای خرگوشی، دلایل ایجاد آن، مزایا و معایب، امکان اصلاح و سایر اطلاعات لازم در این زمینه آشنا سازیم. کلینیک شبانهروزی دندانپزشکی تاج تهران کادری مجرب در حوزه دندان دارد. دندانپزشکی تاج آماده است تا درباره تمامی مشکلات دندان و راهکارهای متناسب به هر فردی مشاوره تخصصی ارائه دهد. برای آگاهی از راههای ارتباطی با کلینیک به پایان همین مقاله رجوع کنید.
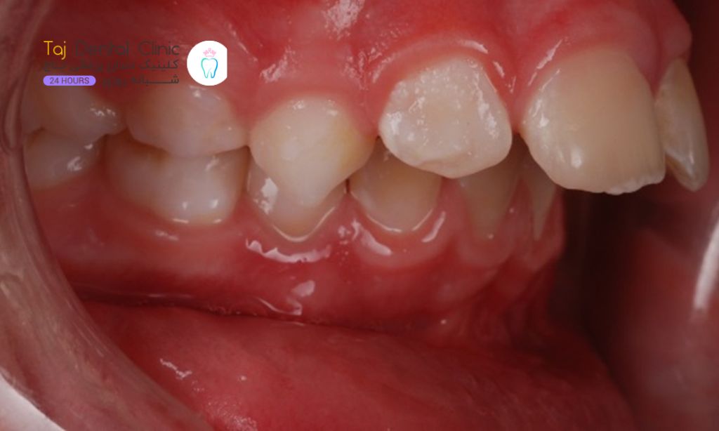
به چه دندانهایی خرگوشی میگویند؟ دندان خرگوشی وضعیتی تهدیدکننده نیست!
دندانهای خرگوشی به دندانهایی گفته میشود که مجموعه بالایی و پایینی دندانها همتراز نیستند. دندانهای بالا معمولاً بیرون زده و روبه جلو هستند. در مواردی اندک، دندانها ممکن است چند میلیمتر از لب پایین جلو باشند. در موارد بسیاری هم دندانها روی لب پایین کشیده میشوند.
بهتر است بدانید که در بیشتر موارد، دندانهای خرگوشی وضعیتی تهدیدکننده یا خطرناک نیستند. اما این نوع چینش دندانها، وضعیت لبخند شما را تحتتأثیر قرار میدهد. کامپوزیت یکی از راهحلهای پرطرفدار برای زیبایی و اصلاح دندانهای خرگوشی است. کامپوزیت، روی دندان قرار میگیرد و عیوب دندانهای نامرتب را پوشش میدهد. اصلاح دندانهای خرگوشی کمک میکند تا دندانهای صافتر و لبخندی جذابتر داشته باشید.

عوامل ایجاد دندانهای خرگوشی؛ ژنیتک و محیط اثرگذار است!
عوامل ایجاد دندانهای خرگوشی متنوع هستند و میتوانند ژنتیکی یا محیطی باشند. این عوامل میتوانند بر رشد و تکامل فک و دندانها تأثیر بگذارند. شناخت این عوامل برای پیشگیری و درمان مؤثر اهمیت دارد. متخصصان دندانپزشکی با بررسی دقیق هر مورد، علت اصلی را تشخیص داده و برنامه درمانی مناسب را طراحی میکنند. در ادامه برخی از عوامل اصلی ایجاد دندانهای خرگوشی را بررسی میکنیم.
مکیدن انگشت شست؛ یکی از شایعترین علل ایجاد دندانهای خرگوشی!
یکی از علل خارجی پس از تولد که منجر به دندانهای خرگوشی میشود مکیدن انگشت شست است. مکیدن شست یکی از شایعترین علل در ایجاد دندانهای خرگوشی محسوب میشود. مکیدن انگشت شست مشکلی رایج در نوزادان است. این کار در سنین کم، طبیعی به حساب میآید.
با این حال، اگر نوزاد مکیدن انگشت را تا مرحله نوپایی (هنگام درآمدن دندانهای طبیعی) ادامه دهد باعث رشد دندانهای جلویی در زاویهای غیرطبیعی میشود. مکیدن پستانک نیز همین خطر را به دنبال دارد. بهویژه، اگر مکیدن در مراحل حیاتی دندانی اتفاق بیفتد.

مشاوره رایگان برای کامپوزیت دندان با متخصص در کلینیک دندانپزشکی تاج - تهران
برای دریافت مشاوره رایگان و ویزیت آنلاین فرم زیر را پر کنید تا متخصصان ما بهتر بتوانند به شما کمک کنند:
فشار دادن زبان در دوران نوازدی؛ عاملی برای نامرتب شدن دندانها!
نوزادان از فشار دادن زبان برای مکیدن شیر مادر یا شیشه شیر استفاده میکنند. فشار دادن زبان هنگام شیرخوردن در دوران نوزادی امری طبیعی است. اما زمانی که فشار دادن زبان هنگام شیرخوردن بیش از حد طول بکشد میتواند باعث ایجاد دندانهای خرگوشی یا اوربایت شود.
ارث و ژنتیک؛ دومین علت شایع ایجاد دندان خرگوشی
خیلی از مواقع دندانهای خرگوشی ارثی بوده و از والدین یا اجداد پدری یا مادری به افراد انتقال مییابند. اگر فَک والدین یا پدربزرگ و مادربزرگ دارای شکلی خاص یا اندازهای غیرمعمولی باشد، این ویژگی را به احتمال زیاد به برخی از نوادگان خود منتقل میکنند. همچنین، اندازه فک نابرابر بین دندانهای بالا و پایین نیز ارثی است.
تراکم یا فاصله بین دندانها به دلایل مختلف؛ علتی برای تغییر شکل دندانها
مشکلات دندانی مانند تراکم یا فاصله نامناسب بین دندانها میتواند شکل دندانها را خرگوشی کند. همچنین، دندانهای افتاده ممکن است در طول زمان باعث جابهجایی دندانهای باقیمانده شود. همین حرکت دندانها در طول زمان تراز آنها را به هم زده و باعث شکلگیری دندانهای خرگوشی میشود.
مشکلات پزشکی و بیماریها؛ عامل ایجاد تغییر شکل دندان در شرایط خاص!
برخی بیماریها و شرایط پزشکی ممکن است به ایجاد دندانهای خرگوشی منجر شوند. بیماریها و شرایط پزشکی زیر میتواند باعث ایجاد دندان خرگوشی شوند:
- وجود کیست
- تومور
- تورم بیش از حد در ناحیه دهان یا فک.
این نوع شرایط پزشکی نیاز به درمانهای جامع دارد. اگر شخصی دچار چنین مشکلاتی شود و بخواهد دندان خرگوشی خود را اصلاح کند باید زیر نظر پزشکان متخصص مربوطه برای اصلاح دندانهای خود اقدام نماید.

آیا دندان خرگوشی امکان اصلاح دارد؟ وابسته به شدت و نوع تغییر دندان!
اصلاح و ترمیم دندانهای خرگوشی بستگی به شدت مشکل افراد دارد. برای مثال، برخی افراد با دندانهای خرگوشی راحت کنار میآیند و دندانهای خرگوشی برایشان جذاب به نظر میرسد. این گروه از افراد حاضر نیستند هیچ درمانی روی دندانهای خود انجام دهند. با این حال، دندانهای خرگوشی از نظر عملکرد و زیبایی میتوانند برای فرد مشکلات فراوانی را ایجاد کنند. دندانپزشک بسته به نوع و میزان مشکل در دندانهای خرگوشی گزینههای درمانی را مطرح میکند.
ایمنترین روش ترمیم؛ کامپوزیت دندان خرگوشی روشی مطمئن است!
یکی از بهترین و ایمنترین روشها برای ترمیم دندانهای خرگوشی و نامنظم کامپوزیت دندان خرگوشی است. دندانپزشک با استفاده از مواد مخصوص کامپوزیت، سطوحی از دندان را میتراشد. برای پرکردن قسمتهای آسیبدیده با مواد، از اشعه مخصوص استفاده میکند تا مواد را در جای خود قرار دهد. بعد از قرارگرفتن مواد کامپوزیت روی دندان، دندانپزشک این مواد را تراشیده و آن را صاف میکند تا شکل دندانها یکدست و تمیز شود. در روش کامپوزیت دندان خرگوشی نیاز به تراشیدن مینای دندان در مقادیر زیاد نیست.
قیمت تراشیدن دندان خرگوشی بسته به نوع دندان، میزان کار و نوع مواد استفاده شده متفاوت است. برای کسب اطلاعات بیشتر در زمینه هزینه تراش دندان، میتوانید با کلینیک دندانپزشکی تاج ارتباط بگیرید و لیست قیمت را از کارشناسان مربوطه دریافت نمایید.
مزایا و محاسن کامپوزیت دندان خرگوشی؛ روشهای جایگزین را نیز بدانید!
روشهای زیادی برای ترمیم شکل دندانهای خرگوشی وجود دارد. سایر روشهای اصلاحی دندان غیر از کامپوزیت عبارتند از:
- لمینت
- ارتودنسی
- اینویزی لاین (استفاده از آلاینرهای پلاستیکی و شفاف)
- ونیر پرسلن
- جراحی فک و صورت
- پالت اکسپندر
- بازسازی تاج دندان
هر یک از این روشها مزایا و معایب خاص خود را دارد. هر کسی بسته به شرایط خود میتواند یکی از روشها را برای اصلاح دندانهای خرگوشی انتخاب گرداند. اما روش کامپوزیت خرگوشی در شرایط معمولی از محبوبیت بیشتری برخوردار است. از مزایای آن میتوان به موارد زیر اشاره کرد.

ظاهر طبیعی؛ در انتخاب پزشک و مواد مصرفی دقت کنید!
داشتن ظاهر طبیعی یکی از مزایای مهم کامپوزیت دندان خرگوشی است. کامپوزیتها با رنگ دندانهای طبیعی تطبیق داده میشوند. رنگ کامپوزیت را میتوان دقیق با سایر دندانها هماهنگ کرد. نتیجه نهایی در این روش بسیار طبیعی خواهد بود. البته برای داشتن کامپوزیت طبیعی باید در انتخاب دندانپزشک و استفاده از مواد باکیفیت و درجه یک اطمینان حاصل کنید.
قابلیت اصلاح و تغییر؛ دومین مزیت مرتب کردن دندان خرگوشی با استفاده از کامپوزیت!
دومین مزیت کامپوزیت دندانهای خرگوشی، قابیلت اصلاح و تغییر آن است. کامپوزیتها به راحتی اصلاحپذیرند و میتوان آنها را تعمیر کرد یا تغییر داد. گاهی ممکن است حادثهای رخ دهد یا به هر دلیل دیگری نیاز به تغییر کامپوزیتها باشد. در چنین شرایطی، تغییر کامپوزیت بهسادگی امکانپذیر خواهد بود. در فرآیند تغییر یا تعمیر کامپوزیت، تعویض کامل کامپوزیت لازم نیست.
هزینه کمتر؛ قیمت کمتر از روشهای دیگر است!
درمان کامپوزیت معمولاً در مقایسه با سایر روشهای ترمیم مانند ونیرهای پرسلن یا جراحی فک هزینه کمتری دارد. بنابراین، کامپوزیت دندان خرگوشی برای بسیاری از مردم مقرونبهصرفهتر است. افراد معمولاً این روش را در صدر انتخابهای خود قرار میدهند.
تهاجمی نبودن؛ یکی از دلایل اصلی محبوبیت کامپوزیت برای دندانهای خرگوشی
کامپوزیت یک روش غیر تهاجمی است. کامپوزیت نیاز چندانی به برداشتن مینای دندان طبیعی ندارد. در این روش کمترین مقدار از مینای دندان برداشته میشود. در سایر روشها مانند ونیرها به برداشت مقدار زیادی از دندان طبیعی نیاز است. کامپوزیت کمترین آسب را به ساختار طبیعی دندان وارد میکند. این مزیت یکی از دلایل اصلی محبوبیت کامپوزیت دندان خرگوشی به حساب میآید.
زمان کوتاه درمان کامپوزیت؛ بهترین راه درمانی برای اصلاح دندانهای خرگوشی
کامپوزیتها بیشتر مواقع در یک یا دو جلسه درمانی انجام میشوند. سایر روشها مانند جراحی فک یا ارتودونسی ممکن است ماهها طول بکشند. با توجه به اهمیت زمان در دنیای امروز، سرعت انجام کامپوزیت، این روش را به یکی از بهترین راههای درمانی برای اصلاح دندانهای خرگوشی تبدیل کرده است.

راحتی استفاده؛ ترمیم دندان خرگوشی هیچ دوران نقاهت یا درد خاصی ندارد!
فرد پس از انجام کامپوزیت دندان خرگوشی میتواند بهراحتی با آنها غذا بخورد. کامپوزیت دندان خرگوشی هیچ دوران نقاهت یا درد خاصی ندارد. همچنین، بعد از کامپوزیت به مراقبتهای خاصی نیاز نیست. راحتی و سرعت یکی از دلایل مهم در محبوبیت این روش برای اصلاح دندان خرگوشی است.
تمیزکردن راحت دندانها؛ فاکتوری مهم در انتخاب روش اصلاح دندان خرگوشی!
حفظ سلامت دندانها یکی دیگر از محاسن مهم کامپوزیت دندان خرگوشی است. زمانی که دندانها در حالت غیرطبیعی باشند تمیزکردن آنها به درستی انجام نمیشود. اگر دندانها به خوبی پاک نشوند ادامه این وضعیت به پوسیدگی دندان منجر میشود. با کامپوزیت دندان خرگوشی میتوان بهراحتی تمام نقاط دندان را تمیز کرد.
محدودیتهای احتمالی کامپوزیت برای دندانهای خرگوشی
در کنار تمامی مزایا و محاسن کامپوزیت دندان خرگوشی، میتوان به برخی از محدودیتهای آن نیز اشاره کرد. توجه نمایید که محدودیتهای کامپوزیت برای برخی افراد در شرایطی خاص معنا پیدا میکند. کامپوزیت دندان خرگوشی برای تمامی متقاضیان محدودیت محسوب نمیشود. در زیر به چند مورد از محدودیتهای احتمالی اشاره میکنیم:
- حساسیت به دما: برخی از بیماران ممکن است بعد از کامپوزیت به تغییرات دما (گرما و سرما) حساسیت نشان دهند. همین امر احتمال دارد نارضایتی در فرد ایجاد کند.
- محدودیت در اصلاح ناهنجاریهای شدید: برای کسانی که مشکلات دندانی شدیدتر یا ناهنجاریهای بزرگتری در دندان دارند ممکن است کامپوزیت روش مناسبی نباشد و باید از روشهای دیگر مانند ارتودنسی یا ونیرهای پرسلن استفاده کرد.
- نیاز به ترمیم و نگهداری: کامپوزیتها ممکن است نیاز به ترمیمهای دورهای داشته باشند. برای حفظ ظاهر خوب دندان،لازم است از کامپوزیتها بهطور منظم مراقبت شود.
در مجموع، انتخاب درمان مناسب برای دندانهای خرگوشی باید با مشاوره دندانپزشک یا ارتودنیست صورت گیرد. برای انتخاب بهترین گزینه باید به وضعیت خاص دندانها، شرایط بدنی و نیازهای بیمار توجه کرد. اما در حالت کلی، اگر دنبال روشی آسان و مطمئن هستید کامپوزیت دندان بهترین انتخاب است.
مراقبتهای پس از کامپوزیت؛ طول عمر ترمیم دندان خرگوشی را افزایش دهید!
مراقبت صحیح از کامپوزیتهای دندانی به افزایش عمر کامپوزیت و حفظ ظاهر زیبای دندانها کمک میکند. به یاد داشته باشید که هرگز از دندانهای خود استفاده ابزاری نکنید. در این بخش به برخی از نکات مراقبتی پس از انجام کامپوزیت اشاره میشود:
- رعایت بهداشت دهان و دندان: دندانها را حداقل دو مرتبه در روز مسواک بزنید. از نخ دندان و دهانشویه استفاده کنید.
- حذف غذاها و نوشیدنیهای رنگی: مصرف غذاها یا نوشیدنیهای رنگی مانند قهوه، چای و توتها را محدود کنید. این مواد غذایی تغییر رنگ کامپوزیت را تشدید میکنند.
- پرهیز از دندان قروچه و گاز زدن اشیا یا غذاهای سخت: اگر دندان قروچه میکنید از محافظ دندان استفاده نمایید. از گاززدن اشیای سخت یا خُرد کردن غذاهای سفت بپرهیزید تا به کامپوزیتها آسیب نخورد.
با رعایت این نکات میتوانید بر دوام کامپوزیتهای دندان خرگوشی بیفزایید. زیبایی دندانهای خود را حفظ کنید. سلامت عمومی دهان و دندان خود را نیز بالا میبرید.
قیمت کامپوزیت دندان خرگوشی
تعیین قیمت کامپوزیت دندان خرگوشی به عوامل متعددی وابسته است. بسته به تخصص و تجربه دندانپزشک و کیفیت مواد، میزان تراشیدگی دندان و خدمات اضافی، قیمت تراشیدن دندان خرگوشی و کامپوزیت آن متفاوت است. بهطور کلی، قیمت کامپوزیت در ایران از حدود 2 ملیون تومان شروع میشود. در کلینیک تخصصی دندانپزشکی تاج قیمت کامپوزیت از 2.400 شروع میشود. هزینه کامپوزیت کل دندانها نیز در حال حاضر حدود 24 تا 48 ملیون تومان است. فهرست قیمت کامپوزیت کلینیک تاج در جدول زیر ارائه شده است:
|
نوع درمان |
هزینه کامپوزیت دندان |
| ونیر کامپوزیت | هر واحد دندان از 2.400 |
| پر کردن دندانهای خلفی با کامپوزیت | از 1.400 |
| پر کردن دندانهای قدامی با کامپوزیت | از 1.400 |
| بیلداپ دندان با کامپوزیت | از 3 ملیون |
| باندینگ کامپوزیت برای ترمیم شکستگی، لب پر شدگی، ترک خوردگی و … |
از 1.400 |
توجه داشته باشید که قیمت و هزینه کامپوزیت دندان مندرج در جدول بالا فقط برای کلینیک دندانپزشکی تاج و در حال حاضر است. برای دریافت اطلاعات دقیق درباره هزینهها و مشاوره تخصصی دندان میتوانید با دفتر کلینیک تماس حاصل فرمایید یا حضوری مراجعه نمایید.
کامپوزیت دندان با مواد درجه یک و کیفیت برتر را در کلینیک تاج تجربه کنید!
در این مقاله خواندیم که کامپوزیت دندان خرگوشی چیست و به چه منظوری انجام میگیرد؟ همچنین درباره مزایا و محدودیتهای کامپوزیت دندان خرگوشی و مراقبتهای پس از آن اطلاعات لازم را به دست آوردیم. اگر از دندانهای روبه جلو یا همان دندان خرگوشی راضی نیستید؛ یا اینکه هنگام مصرف خوراکی دندانهای خرگوشی مایه آزار و رنجشتان هستند؛ برای ترمیم سریع آنها اقدام کنید. اگر دوست دارید زیبایی دندانهای خود را با بهترین کیفیت و قیمت مناسب تضمین نمایید، به کلینیک دندانپزشکی تاج نمایید. راههای ارتباطی با مجموعه کلینیک تاج :
دفتر کلینیک واقع در تهران، جنتآباد مرکزی
شماره تماس با مرکز : 02144444103
ساعات مراجعه: 9 صبح تا 12 شب
آدرس اینستا: @@dentaj_clinic
سؤالات رایج
کامپوزیت دندان خرگوشی چه مدت دوام دارد؟
عمر مفید کامپوزیت به مواد اولیه و مراقبتهای پس از درمان بستگی دارد. با مراقبت درست دوام کامپوزیت بین 5 تا 10 سال خواهد بود.
آیا کامپوزیت دندان خرگوشی قابل تعمیر است؟
بله، در صورتی که کامپوزیت بشکند یا آسیب ببیند میتوان آن را تعمیر یا تعویض کرد.
آیا کامپوزیت دندان خرگوشی برای همه افراد مناسب است؟
مناسب بودن کامپوزیت دندان خرگوشی به وضعیت دندان هر فرد و نیازهای خاص او بستگی دارد. در این زمینه حتماً با پزشک مشورت کنید.
آیا کامپوزیت دندان خرگوشی درد دارد؟
فرآیند کامپوزیتگذاری معمولاً درد خاصی ندارد. فقط برخی افراد کمی ناراحتی و درد خفیف را احساس میکنند.
چه مدت زمانی طول میکشد تا کامپوزیت دندان خرگوشی انجام شود؟
معمولاً یک تا دو جلسه طول میکشد. البته کامپوزیت بهطور کلی بستگی به تعداد دندان و پیچیدگیهای کار نیز دارد.